起き上がると調子が悪くなることを、医学的に起立性調節障害と言います。この中で、頭痛やめまいに限局した話を脳脊髄液漏出症と言うのではないかと思います。
当院では脳脊髄液漏出症を起き上がると調子が悪くなる病として、捉えて診断治療しております。症状としては
・頭痛
・めまい
・胃腸症状
の方が主ですが、それ以外でも起き上がると調子が悪くなるのであれば、この病気と関係して捉えることがあります。病気の内容は非常に分かりづらく、またどのクリニックや病院に行ってもMRIやCT、採血では問題ないと言われて薬を出されていることが多いのではないかと思います。
病気の主体は髄液の圧調整不良ではないかと考えており、当院では診断・治療に関して一連の流れで治療しております。
まずは、病気に関して理解する必要があり、ぜひ一度、動画を御覧ください。
横になると症状が楽になり、起き上がると体調が悪くなる方!
2つの動画を作成しております。
概要
脳脊髄液漏出症(のうせきずいえきろうしゅつしょう)は、脳や脊髄を包む硬膜に穴が開き、脳脊髄液(CSF)が漏れ出ることで起こる疾患です。髄液が減少することで脳が下がり、頭痛やめまいなど様々な症状を引き起こします。
主に交通事故や大きな外傷のあとに、硬膜に穴が空くと言われており、長年にわたりその病気の概念自体が疑問視されていましたが、近年は脳脊髄液が漏出してる状況を画像化することができ、保険病名として収載されるようになりました。
ChatGPTでイラストを作ってもらったのですが、背→脊です。

脳の構造
脳脊髄液漏出症を理解するためには、脳の構造を知っておくことが重要です。
脳が頭蓋骨に囲まれているいるのは有名なお話ですが、実は頭蓋骨の下に硬膜という硬い膜があり、その中に脳脊髄液という液体が入っていて、液体の中に脳や脊髄が浮いています。この脳脊髄液は常に循環しています。
脳脊髄液は通常150ml程度あると言われています。

症状
脳脊髄液が漏れると以下のような症状が出ると言われています。しかし、症状は一定ではなく、非常に難しいです。
症状のポイントとして、横になると症状は改善するが、起き上がると(頭部をあげると)症状が悪化することです。この症状に当てはまる方はぜひご相談ください。
- 起立性頭痛(立つと悪化し、横になると軽減)
- めまい・耳鳴り・難聴
- 視力障害・複視
- 首や肩の痛み・こり
- 倦怠感・集中力低下
- 自律神経症状(動悸・発汗異常など)
個人的な意見ですが、やや片頭痛に似た症状を呈す患者さんもいるようで、治らない片頭痛の一部にはこの病気が含まれているのではないかと思っております。
原因
- 外傷(交通事故、スポーツによる打撲、転倒など)
- 日常動作(くしゃみ、咳、重いものを持つ動作など)
- 医療処置(腰椎穿刺、硬膜外麻酔など)
- 原因不明の場合もある
診断方法
診断は簡単ではありません。この病気の難しいところは、検査で所見がなくても病気ではないと否定できないところです。なぜなら、髄液漏出は常に生じているわけではない可能性があり、画像で漏出している部位を同定できなくても病気の可能性があるからです。
しかしながら、画像診断で漏出してなくても、漏出している可能性があります。なぜなら、検査のときだけ漏出していなかったといった可能性があるからです。
最近では、腰椎穿刺による圧測定、髄液測定に追加して、少量の生食注入で症状が改善するかを確認しています。
- 腰椎穿刺による圧測定(硬膜外生食注入含む)
- MRI検査(FLAIR画像、造影剤使用)
- 脊髄MRIミエログラフィー
- 腰椎穿刺による生理食塩水注入下でのMRIミエログラフィー
- 脊髄CTミエログラフィー(生理食塩水注入下)
- RI脳槽シンチグラフ
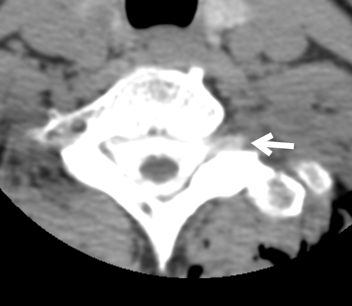
当院では腰椎穿刺による圧測定(硬膜外生食注入含む)と脊髄CTミエログラフィーが可能です。右図は当院で診断した漏出の所見です。

治療法
- 保存療法
- 安静(横になって過ごす)
- 2週間の間、トイレ・洗面・食事以外は安静臥床をしていることをおすすめします。
- 水分摂取
- 経口補水液(OS-1がおすすめです)を1日2000ml飲水します。
- 漢方治療
- 安静(横になって過ごす)
- 硬膜外気体注入療法
- 硬膜外気体注入療法を始めました!
- 自由診療なので、十分にご理解いただいたうえで治療を受けてください。
- ブラッドパッチと比べて
- 漏れている場所を問わない
- 安全である
- 繰り返し行える
- といったメリットがあります。
- 硬膜外自家血パッチ(ブラッドパッチ)
- 患者自身の血液を硬膜外腔に注入し、漏れた箇所をふさぐ治療法
- 脊髄ミエログラフィーと同様の手法で硬膜の外側に血液を注入して髄液の漏出をとめます。
- 当院では腰椎のみブラッドパッチを行っています
- 手術(まれに実施)
- 漏出部位を直接縫合する方法
硬膜外気体注入療法やブラッドパッチは髄液の漏れを閉鎖するのか?
これは非常に難しい問題だと思います。髄液が直接漏れているのを確認して、ブラッドパッチで直接癒着を起こしていることを確認しないとわからないです。
そもそも、漏れても人体の中での水の循環が起こるだけです。では、漏れたら問題なのか?髄液の圧は必ず下がっているのか?わからないことだらけです。
硬膜外気体注入療法は漏れを閉鎖するというより硬膜を下方や後方から押してあげて症状を改善するという概念のようですが、本当にわからないことが多いです。
注意点
- 頭痛が生じてから時間が経過した場合は、治療が困難になる場合があります。ぜひ、お早めに受診ください
- 当院では、問診や画像検査で疑いがあった場合、まず診断的治療を行っております。その後に、ご希望の方にはCTミエログラフィーを施行することが可能です



